首页
产品中心
派CT系列
简CT系列
信CT系列
云影像系统
产品中心
创新技术
关于有方
新闻动态
招贤纳士
服务支持
联系我们
中文
派CT
Pirox系列
双/三源大视野口腔CBCT
简CT
Jirox系列
坐式口腔CBCT
信CT
Hirox系列
大视野 · 螺旋口腔CBCT
云影像系统
兰台医令®
AI云影像系统
新闻动态
News
返回列表
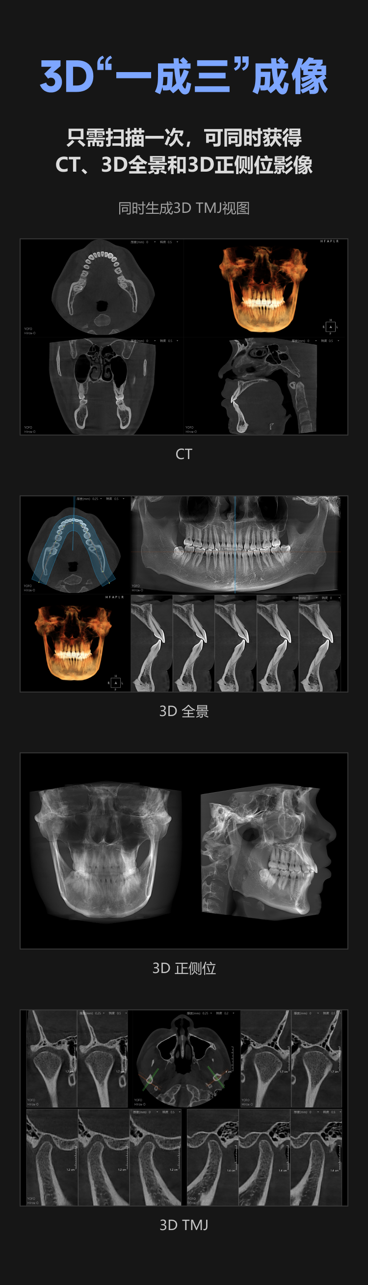
小身型,大格局——有方医疗・信CT正式发布!
2024-10-28
上一篇:
梦想照进现实,有方医疗科技发梦想照进现实,有方医疗科技发梦想照进现实,有方医疗科技发…
下一篇:
梦想照进现实,有方医疗科技发梦想照进现实,有方医疗科技发梦想照进现实,有方医疗科技发…
上一篇:
有方口腔CT算法升级,精准诊疗再上新台阶
下一篇:
有方医疗应邀参与中国体视学与图像分析学术会议,畅聊有方CT创新之路
最新资讯
创新科技,领航未来:有方医疗上海DTC口腔展精彩纪实
2025-12-22
有方医疗北京国际口腔展圆满收官!现场盛况回顾
2025-12-22
影像力觉醒,八年正当燃 | 有方医疗8周年庆典:共赴炽热新征程
2025-12-21
联系我们
您的称呼
*
您的电话
*
备注信息
提交
Please do not fill in this field.