“AI×云”影像中心——兰台医令®

让诊疗精准、高效
兰台医令主图

兰台医令®功能概览

  • CT阅片+正畸测量 CT阅片+正畸测量
    无论是否有网络,都可在兰台医令®影像中心上进行CT阅片和正畸测量。多项AI图像处理功能,让医生操作化繁为简。
  • 口腔CT智能报告 口腔CT智能报告
    可基于CT影像数据进行智能病灶分析,辅助医生提升诊断效率,助力医患沟通,患者可随时随地查阅个人的口腔健康状态。
  • 远程阅片会诊 远程阅片会诊
    兰台医令®的云影像功能,只需通过指定分享,即可轻松实现远程阅片会诊。
  • 云储存扩容 云储存扩容
    可将影像数据按需选择上传到兰台医令®私服服务器,实现存储扩容和备份的功能。

CT阅片+正畸测量 CT阅片+正畸测量

兰台医令®集成了两个有方医疗自主研发的CT影像处理软件Dubhewer®和OrthDon®

  • CT阅片软件
    Dubhewer®

    CT阅片软件

  • 正畸测量软件
    OrthDon®

    正畸测量软件

多项AI功能让诊疗化繁为简
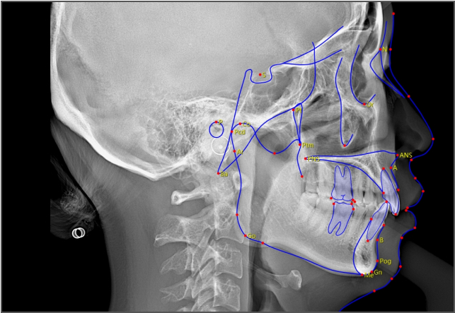
  • lamtau AI头影测量

    AI头影测量

  • lamtau AI神经管标记

    AI神经管标记

  • lamtau 单颗牙齿分割

    单颗牙齿分割

  • lamtau AI牙弓曲线

    AI牙弓曲线

  • lamtau 模拟种植

    模拟种植

  • lamtau AI气道分析

    AI气道分析

  • lamtau AI TMJ

    AI TMJ

单侧头影测量 专利 首创

偏颌患者的侧位片左右侧的影像不对称,实际正畸测量时会产生较大的误差。有方医疗推出单侧头影测量功能。这一功能有效解决了这一临床问题,在口腔正畸领域广受好评,并于2023年成功获得国家发明专利授权。

单侧头影测量

口腔CT智能报告 口腔CT智能报告

可基于CT影像数据进行智能病灶分析,辅助医生提升诊断效率,助力医患沟通。患者可通过报告查阅个人的口腔健康状态。

口腔CT智能报告 口腔CT智能报告
自动生成报告
  • 助力医患沟通 助力医患沟通
  • 患者可自主查阅 患者可自主查阅
远程阅片会诊

多项技术加持让兰台医令®高效、可靠

Web版兰台医令®即将上线!敬请期待~

产品咨询

欢迎致电有方医疗全国统一服务热线400-878-2358或给我们留言


联系我们