信CT

业界首款螺旋口腔CBCT

信CT

信CT——Hirox-O概览

  • 螺旋扫描成像技术

    首创

    业界首创
    以小射角X光
    以小射角X光实现高清大视野成像
    实现高清大视野成像
  • 体验好
    俯式摆位简单、稳定
    小身型
    一体化结构,更省空间
  • 大视野
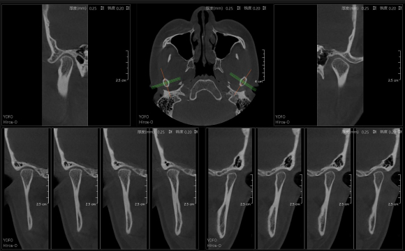
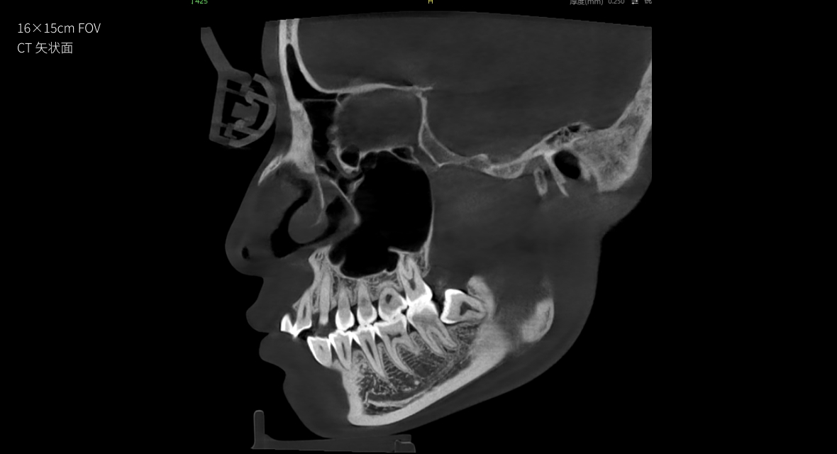
    16×15 cm
    最大视野
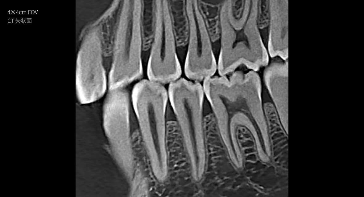
  • 高精准
    28 lp/cm
    空间分辨率
  • 高效率
    10/20 s
    扫描时长

拍一次就好

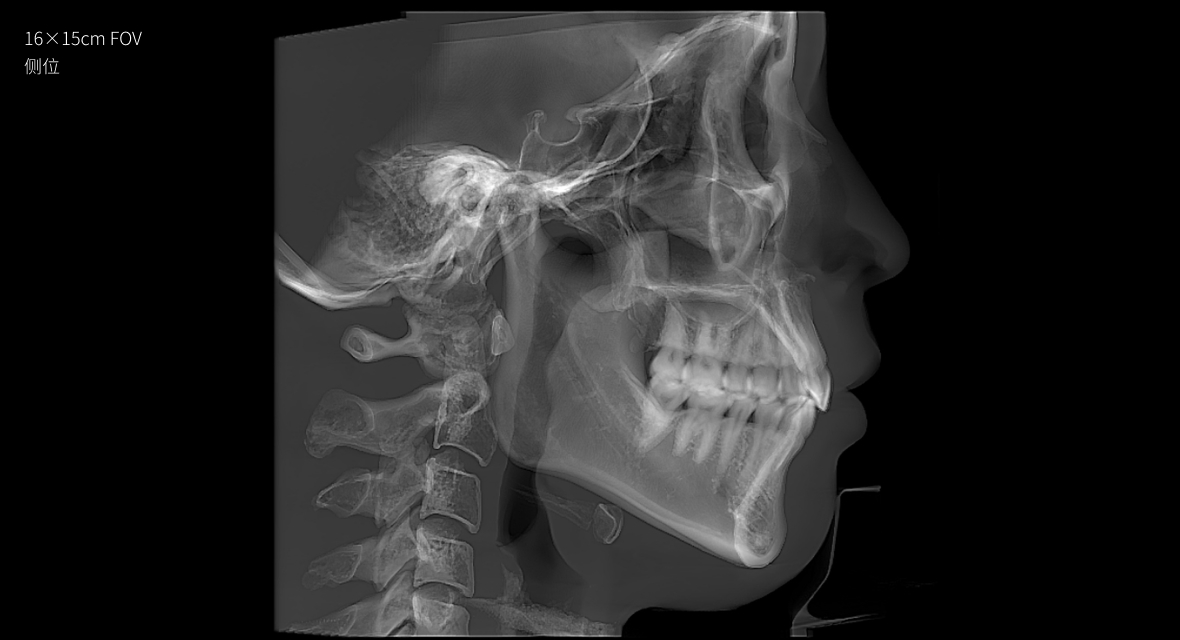
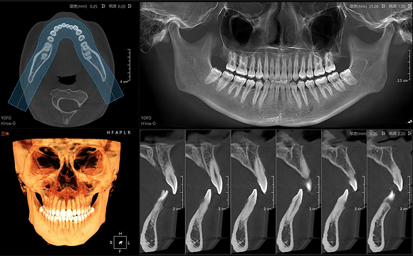
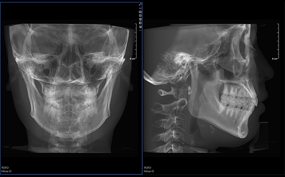
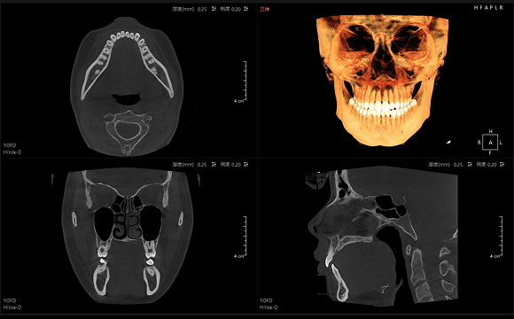
只需一次单圈扫描即可获得CT、3D全景和3D正/侧位影像,并能同时生成3D TMJ视图

提高诊疗效率,避免过度检查,减少患者所受的辐射

  • CT

    CT

  • 3D全景

    3D全景

  • 3D 正侧位

    3D 正侧位

  • 3D TMJ视图

    3D TMJ视图

影像实力派

影像实力派
影像实力派
影像实力派
影像实力派
  • 影像实力派
    16×15cm
    非拼接大视野
  • 影像实力派
    28lp/cm
    高精准
  • 影像实力派
    Physics-driven系列伪影校正算法
    实现高清精准成像
    物理驱动
    伪影校正算法
更稳定的摆位方式
  • 更稳定的摆位方式
  • 更稳定的摆位方式
    • 更稳定的摆位方式
      一俯完成摆位
      简单高效
    • 双肩托承重更稳定
      双肩托承重更稳定
      不易产生运动伪影
    • 双肩托承重 + 腰部微弯
      双肩托承重 + 腰部微弯
      对佝身、体弱的老人更友好
高效率作业
  • 高效率作业
    • 高效率作业
      拍一次就好
      一次拍摄同时获得三种影像
    • 高效率作业
      扫描快、摆位快、出图快
      拍完2s出图
    • 高效率作业
      连拍强
      射源散热系统提升连拍能力
  • 高效率作业

高颜值外观

高颜值外观 高颜值外观

产品咨询

欢迎致电有方医疗全国统一服务热线400-878-2358或给我们留言


联系我们