新品发布 | 探索影像新纪元—— 有方医疗全球首款三射源口腔CBCT震撼上市!
2024-07-24

经国家药品监督管理局审查,有方医疗全新口腔CBCT产品——Pirox-A,已获得中华人民共和国三类医疗器械注册证,获准进入市场。一场口腔CT行业前所未有的创新和变革向我们袭来,这个夏天,有方医疗将开启全新三射源时代!Pirox-A震撼上市!
超越自我,双射源升级三射源

三射源·首度应用口腔CBCT
有方医疗首度将三射源成像技术应用于口腔CBCT,双射源实现大中视野成像,新增的旋阳射源打造超高清成像。三射源技术可以将X射线锥角控制在较小的范围,从而有效降低散射伪影和锥形束伪影的产生,轻松实现24x21cm非拼接大视野成像。
同时,Pirox-A延用有方派系列的射源交替脉冲扫描技术,结合独特的低剂量降噪算法,让其可以在较低剂量的基础上实现高精度成像。
创新升级,打造射源新玩法

目前首台应用旋转阳极射源的国产口腔CBCT
有别于派系列其他产品,Pirox-A的小视野超清模式,用的是旋转阳极射源。旋转阳极射源的亮度更高,焦点尺寸可以达到惊人的0.3mm,让Pirox-A可轻松捕捉细微玄妙之处,图像空间分辨率最高可达40lp/cm,“遥遥领先”。
另外,旋转阳极通过不断旋转,可以大大增加散热面积,降低球管热累积,在增加连拍次数的同时还可以延长射源寿命。
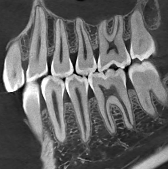
引领科技,创造口腔CT影像精度”新纪录”
40lp/cm 创造口腔CT影像精度新记录

Pirox-A 超清影像
高空间分辨率的CT影像,能更清晰显示牙周膜牙槽神经的组织结构细节。高空间分辨率对三维体模的构建、微小结构的分析、手术路径的规划都意义重大。
《中华人民共和国医药行业标准》的YY/T 0795-2022“口腔颌面锥形束计算机体层摄影设备专用技术条件”中,明确定义了空间分辨率的测量方法。其中,最重要的断层平面空间分辨率模块(X、Y、Z)空间分辨率为1.0lp/mm、1.3lp/mm、1.55lp/mm、1.7lp/mm、2.0lp/mm、2.5lp/mm、2.8lp/mm、3.5lp/mm、4.0lp/mm。
截至到2024年7月1日,根据已上市的口腔CBCT产品的公开资料显示,其空间分辨率目前最高为2.8lp/mm。
24x21cm超大视野 轻松总览完整颌面

有方Pirox-A在成像视野方面“更上一层楼”,最大24x21cm的成像视野,轻松总览口腔领面全局状况。更有16x13cm和5x5cm视野范围可选,满足不同临床需求。

高效便捷,沿袭Pirox系列人性化设计




提升医疗质量,深度探索临床应用
临床实践与科研探索共同驱动着医学进步的巨轮破浪前行,再优秀的技术创新也需要临床的实战来转化成人性化的治疗方案。有方医疗期待与大家共同探索Pirox-A的临床应用。
有方医疗是一家创新型医疗CT影像技术高科技公司,致力于打造差异化产品,实现医学影像技术的跨代突破。Pirox-A的上市标志着我们正在一步步实现我们的愿景。
未来,有方医疗将继续于以专科CT影像及智能算法为核心的精准医疗领域不断深耕,也必将推动医疗影像技术迈向更高的水平,为所有人的健康而奋斗!